Ból pięty – przyczyny i diagnostyka obrazowa
USG stopy Warszawa
Ból w okolicy pięty należy do najczęstszych dolegliwości ze strony stopy. Pacjenci opisują go różnie – jako ostry, kłujący dyskomfort przy porannych krokach, ból nasilający się po dłuższym staniu, lub dolegliwości pojawiające się podczas i po aktywności fizycznej. Lokalizacja bólu bywa zróżnicowana – może dotyczyć dolnej powierzchni pięty, jej tylnej części, lub okolicy przyśrodkowej (wewnętrznej).
Pięta to złożona struktura anatomiczna, w której kość piętowa stanowi punkt zbiegu licznych tkanek miękkich – ścięgna Achillesa, powięzi podeszwowej, oraz warstwy tłuszczowej pełniącej funkcję amortyzującą. Lokalizacja i charakter bólu często wskazują na konkretną strukturę anatomiczną będącą źródłem dolegliwości.
Najczęstsze przyczyny bólu pięty
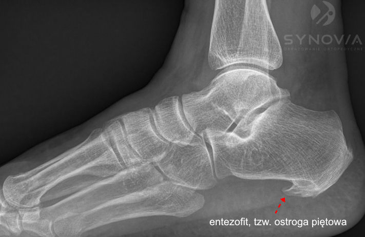
Zapalenie powięzi podeszwowej (tzw. ostroga piętowa)
Zapalenie powięzi podeszwowej (plantar fasciitis) odpowiada za około 80% przypadków bólu pięty. Powięź podeszwowa to szeroka warstwa grubej tkanki łącznej biegnąca od dolnej krawędzi kości piętowej do głów kości śródstopia i dalej do palców. Struktura ta pełni istotną rolę biomechaniczną w utrzymaniu łuku podłużnego przyśrodkowego stopy oraz w przenoszeniu obciążeń podczas chodzenia.
Typowe objawy:
- Ból zlokalizowany w dolno-przyśrodkowej części pięty
- Największe nasilenie przy pierwszych porannych krokach
- Nasilenie po okresach odpoczynku i przy wstawaniu
- Dyskomfort podczas dłuższego stania lub chodzenia
- Uczucie ciała obcego w bucie
Obraz w badaniach obrazowych:
USG

Co widać: Pogrubienie powięzi >4mm, zmiana echostruktury, hipoechogeniczne obszary obrzęku, wzmożone unaczynienie w badaniu dopplerowskim.
RTG

Co widać: Ostroga piętowa – kostny wyrostek w miejscu przyczepu powięzi. Obecna również u wielu bezobjawowych osób.
MRI

Co widać: Szczegółowa ocena powięzi, obrzęk szpiku kostnego w kości piętowej, przydatne w różnicowaniu przyczyn.
Ważna informacja: Ostroga piętowa jest obecna u około 50% osób bezobjawowych, a jej obecność nie koreluje bezpośrednio z nasileniem dolegliwości. To stan tkanek miękkich, nie sama ostroga, jest źródłem bólu, dlatego samo RTG nie wystarczy do postawienia diagnozy.
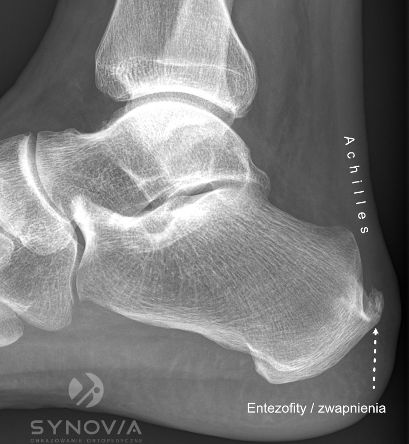
Entezopatia ścięgna Achillesa
Ścięgno Achillesa, będące największym ścięgnem w organizmie człowieka, przyczepia się do tylno-górnej części kości piętowej. Strefa przyczepu (enteza) jest miejscem szczególnie podatnym na przeciążenia i zmiany zapalne.
Typowe objawy:
- Ból tylnej części pięty, tuż powyżej obszaru kontaktu z obuwiem
- Nasilenie podczas aktywności fizycznej, szczególnie biegania i skoków
- Możliwy obrzęk w okolicy przyczepu
- Ból przy uciskaniu tylnej części pięty
Obraz w badaniach obrazowych:
USG

Co widać: Pogrubienie ścięgna, zaburzenie struktury włókienkowej, hipoechogeniczne obszary naderwań, wzmożone unaczynienie, płyn w kaletkach.
RTG

Co widać: Entezofity – kostne wyrostki w miejscu przyczepu, ewentualnie nadżerki kości (w chorobach reumatycznych).
MRI

Co widać: Stopień uszkodzenia ścięgna, obrzęk w kości piętowej, stan tkanek okolicznych, możłiwy dokładny monitoring gojenia, w tym gojenia pooperacyjnego.
Uszkodzenie poduszki tłuszczowej
Pod skórą pięty znajduje się warstwa tkanki tłuszczowej złożonej z komór wypełnionych tłuszczem, oddzielonych przegrodami tkanki łącznej. Struktura ta pełni funkcję amortyzującą podczas chodzenia. Proces zapalny tej okolicy lub jej zanik (szczególnie u osób starszych) może być źródłem dolegliwości.
Typowe objawy:
- Ból w centralnej części pięty przy obciążeniu
- Uczucie “chodzenia po gołej kości”
- Nasilenie przy chodzeniu boso po twardym podłożu
Obraz w badaniu USG:

W badaniu ultrasonograficznym możliwe jest uwidocznienie zaniku lub ścieńczenia warstwy tłuszczowej podpiętowej, obecności płynu w przestrzeniach gdzie powinna znajdować się amortyzująca tkanka tłuszczowa, możliwe są również ogniska wzmożonego unaczynienia wskazującego na proces zapalny.
Inne przyczyny bólu pięty
Rzadsze przyczyny obejmują złamania zmęczeniowe kości piętowej, zespół cieśni kanału stępu (ucisk nerwu piszczelowego), guzy kości piętowej, choroby reumatyczne (np. w przebiegu łuszczycowego zapalenie stawów), neuropatia nerwu Baxtera oraz infekcje kości lub tkanek miękkich.
Diagnostyka
Prawidłowe rozpoznanie przyczyny bólu pięty wymaga dokładnej diagnostyki obrazowej, która pozwala precyzyjnie określić źródło dolegliwości i stopień zaawansowania zmian.
Badania obrazowe
Badanie USG stopy Podstawowe i najczęściej wykonywane badanie diagnostyczne. Umożliwia szczegółową ocenę struktury powięzi podeszwowej i ścięgna Achillesa, wykrycie zmian zapalnych i ich aktywności, ocenę integralności struktur ścięgnistych oraz monitoring skuteczności leczenia. Badanie USG jest bezpieczne, nieinwazyjne i pozwala na ocenę dynamiczną (w ruchu). W gabinetach wyposażonych w odpowiedni sprzęt i prowadzonych przez doświadczonych specjalistów radiologii możliwe jest nie tylko postawienie diagnozy, ale również wykonanie celowanych iniekcji terapeutycznych pod kontrolą obrazu, co znacząco zwiększa precyzję i skuteczność leczenia.
Badanie RTG stopy Wykonywane w celu oceny struktury kostnej i wykluczenia zmian w obrębie kości piętowej. Szczególnie przydatne w diagnostyce ostrogi piętowej, entezofitów oraz zmian zwyrodnieniowych.
Rezonans magnetyczny (MRI) Wykonywany jest w przypadkach niejasnego obrazu klinicznego, braku poprawy mimo leczenia, podejrzenia zmian w obrębie kości lub struktur głębokich oraz przy planowaniu leczenia operacyjnego. MRI szczególnie dobrze obrazuje obrzęk szpiku kostnego i zmiany w tkankach miękkich.
Możliwości terapeutyczne
Po postawieniu diagnozy możliwe są różne formy leczenia, w zależności od przyczyny bólu i stopnia zaawansowania zmian:
Leczenie zachowawcze Odpoczynek, modyfikacja aktywności, fizjoterapia, odpowiednie obuwie i wkładki ortopedyczne. W wielu przypadkach to wystarczające podejście.
Iniekcje pod kontrolą USG Celowane podanie leków przeciwzapalnych, suche igłowanie lub iniekcje osocza bogatopłytkowego (PRP) bezpośrednio w miejsce zmian. Kontrola ultrasonograficzna zapewnia precyzyjne umieszczenie preparatu i zwiększa skuteczność terapii.
Leczenie operacyjne W przypadkach opornych na leczenie zachowawcze lub przy znacznym stopniu uszkodzenia struktur możliwe jest leczenie chirurgiczne. Decyzję o operacji podejmuje ortopeda na podstawie dokładnej diagnostyki obrazowej.
Choroby układowe W przypadku podejrzenia chorób układowych (reumatycznych) – na podstawie charakterystycznego obrazu w badaniach obrazowych oraz objawów klinicznych – pacjent kierowany jest do reumatologa w celu poszerzenia diagnostyki o badania laboratoryjne i immunologiczne.
FAQ – najczęstsze pytania Pacjentów dotyczące bólu pięty Warszawa
Czy ostroga piętowa zawsze jest przyczyną bólu pięty?
Nie. Ostroga piętowa jest zmianą kostną wtórną i bardzo często bywa znaleziskiem przypadkowym. W praktyce klinicznej głównym źródłem bólu jest zapalenie rozcięgna podeszwowego, entezopatia przyczepu lub przeciążenie tkanek miękkich. USG stopy pozwala ocenić, czy ból pięty rzeczywiście koreluje z aktywnym stanem zapalnym, a nie jedynie z obecnością osteofitu.
Jakie struktury można ocenić w USG przy bólu pięty?
USG stopy umożliwia dokładną ocenę rozcięgna podeszwowego (grubość, echogeniczność, entezopatia), przyczepu do guza piętowego, tkanek tłuszczowych pięty, kaletek, a także ścięgien w okolicy tylnej i przyśrodkowej. W wielu przypadkach to właśnie obraz tkanek miękkich, a nie kości, tłumaczy dolegliwości bólowe.
Czy USG pozwala odróżnić ostrą fazę zapalenia od zmian przewlekłych?
Tak. W badaniu USG można ocenić cechy aktywnego zapalenia, takie jak obrzęk, przekrwienie w Dopplerze czy rozwarstwienie włókien rozcięgna. Ma to kluczowe znaczenie przy planowaniu leczenia, ponieważ inne metody stosuje się w ostrym zapaleniu, a inne w przewlekłej entezopatii.
Na czym polega suche igłowanie w leczeniu bólu pięty?
Suche igłowanie polega na celowanym nakłuwaniu zmienionej chorobowo tkanki pod kontrolą USG. Zabieg wywołuje kontrolowany mikrouraz, który stymuluje procesy regeneracyjne. Jest szczególnie skuteczny w przewlekłych zmianach rozcięgna podeszwowego, gdy dominują włóknienie i utrata elastyczności, a nie aktywny stan zapalny.
Kiedy stosuje się blokadę sterydową w bólu pięty?
Blokada sterydowa jest rozważana głównie w przypadku wyraźnego, aktywnego zapalenia z istotnym bólem ograniczającym funkcjonowanie. Podanie leku pod kontrolą USG pozwala precyzyjnie zdeponować steryd w miejscu patologii, minimalizując ryzyko uszkodzenia rozcięgna i powikłań.
Czy iniekcje PRP są skuteczne w leczeniu bólu pięty?
Iniekcje PRP znajdują zastosowanie przede wszystkim w przewlekłych dolegliwościach bólowych, gdzie celem jest stymulacja procesów regeneracyjnych, a nie tylko redukcja stanu zapalnego. PRP może być alternatywą dla sterydów, zwłaszcza u pacjentów z nawrotowym bólem pięty lub przeciwwskazaniami do glikokortykosteroidów.
Dlaczego iniekcje w Synovia wykonywane są pod kontrolą USG?
Kontrola USG pozwala dokładnie zobaczyć miejsce podania leku, ominąć struktury naczyniowo-nerwowe i precyzyjnie trafić w obszar patologii. Ma to szczególne znaczenie w leczeniu bólu pięty, gdzie struktury są niewielkie, a margines błędu minimalny.
Czy USG stopy w Warszawie wystarczy, czy zawsze potrzebny jest rezonans?
W większości przypadków bólu pięty USG jest badaniem pierwszego wyboru i często wystarczającym do postawienia rozpoznania oraz zaplanowania leczenia. Rezonans magnetyczny rozważa się głównie przy nietypowych dolegliwościach, braku poprawy mimo leczenia lub podejrzeniu patologii kostnej niewidocznej w USG.
Jak wygląda kompleksowe leczenie bólu pięty w Synovia?
Proces zwykle rozpoczyna się od szczegółowej diagnostyki USG, następnie – w zależności od obrazu – dobierane jest leczenie: od modyfikacji obciążeń i fizjoterapii, przez suche igłowanie, blokadę sterydową, aż po iniekcje PRP. Kluczowe jest leczenie przyczyny, a nie samego objawu bólu.
Kto wykonuje badania i zabiegi w Synovia?
Diagnostykę oraz zabiegi pod kontrolą USG wykonuje Marcin Paśnik, radiolog specjalizujący się w obrazowaniu narządu ruchu. Gabinet Synovia mieści się w Warszawie i koncentruje się wyłącznie na diagnostyce i leczeniu MSK.
USG ortopedyczne wykonywane przez doświadczonego i wąsko wyspecjalizowanego radiologa
Synovia, Jana Ciszewskiego 9 lok. U6, Warszawa Ursynów
dr n.med. Marcin Paśnik
Artykuł ma charakter informacyjny i edukacyjny. Nie stanowi porady medycznej.
© 2025 Synovia Obrazowanie ortopedyczne